Prokázání skutečného původu zvířat je významné pro chovatele, orgány ochrany přírody i celní úředníky. Možnou, ale dosud málo užívanou metodou je diagnostika specifických parazitóz nebo endemických nákaz. Text upozorňuje na možnosti a omezení takového postupu a popisuje některé kauzy.
Proving the true origin of animals is important for breeders, nature conservation authorities, and customs officials. Diagnosing specific parasitic diseases or endemic infections is a possible but still rarely used method. This text highlights the possibilities and limitations of this approach and describes some cases.
-
Krajta zelená (Morelia viridis) patří stále k nejčastěji obchodovaným plazům s ilegálním původem (mezinárodní obchod je u ní regulovaný konvencí CITES). V podstatě všechna zvířata z volné přírody hostí širokou škálu parazitů, kteří se v zajetí nemohou vyskytovat. Foto D. Modrý
-
Tropická pijavka z povrchu těla želvy rodu Malayemys zachycená těsně po ilegálním importu. Foto D. Modrý
-
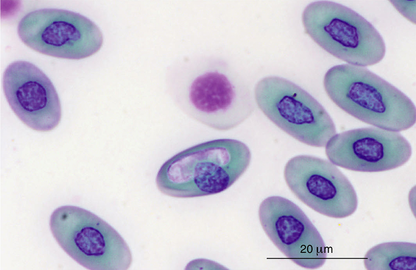
Vývojové stadium (gametocyt) prvoka Hemolivia mauritanica v červené krvince želvy vroubené (Testudo marginata) je v podstatě doživotním indikátorem, že dotyčná želva pochází z volné přírody. Foto D. Modrý
-
Plerocerkoid tasemnice v podkoží asijské bičovky stromové (Ahaetulla prasina) je neklamnou známkou, že had byl odchycen v tropickém ekosystému. Foto D. Modrý
-
Hadovitě zatočená nenápadná zduřenina na boku chameleona pardálího (Furcifer pardalis) svědčí o přítomnosti filárií. Jejich přenašečem jsou tropičtí komáři. Foto P. Nečas
-
Želvy hostí v erytrocytech výše uvedené prvoky rodu Hemolivia, kteří u nich zůstávají i po mnoha letech chovu. Jejich nález spolehlivě indikuje přírodní původ vyšetřovaného jedince, protože jsou přenášeni klíšťaty Hyalomma aegyptium, a mláďata z odchovu tak nakažena nejsou. Želva zelenavá (Testudo hermanni) ve volné přírodě Bulharska u Melniku. Foto V. Vrabec
-
Mikroskopická vajíčka motolice z trusu chameleona pardálího (Furcifer pardalis) z volné přírody Madagaskaru. Foto D. Modrý
-
Kombinovaný nález vajíčka spiruridní hlístice (nalevo) a jazyčnatky v trusu varana smaragdového (Varanus prasinus). Oba tyto parazity může plaz získat jen ve volné přírodě pozřením přirozené potravy. Foto D. Modrý
-
V importu zmijí gabunských (Bitis gabonica) byly zachyceny jazyčnatky patrně rodu Armillifer, které jsou jinak známy např. z afrických krajt. Mezihostitelem jsou hlodavci, ale ohrožen může být i člověk konzumující maso ze zvířat ulovených v přírodě (bushmeat). Vyšetření v terénu nasvědčují, že třeba v Kongu je jazyčnatkami napadena většina hadů prodávaných k lidské spotřebě. Foto V. Vrabec