Chronická lymfocytární leukémie (CLL) je nádorové onemocnění, které se řadí mezi nejčastější typy leukémie. Jde o stále nevyléčitelné onemocnění, jehož průběh je velice heterogenní. Bylo dokázáno, že Wnt signalizace může hrát významnou roli v rozvoji nejen CLL, ale i dalších nádorových onemocnění. Výsledky nedávných preklinických studií ukazují, že blokování aktivity Wnt dráhy přes její klíčovou složku, kasein kinázu 1 (CK1), by mohlo být novým přístupem v léčbě nádorových onemocnění včetně CLL. Spolu s dalšími kolegy se nyní snažíme vyvinout látky (inhibitory), které selektivně blokují aktivitu CK1 v buňkách.
K dalšímu čtení v Živě:
Co se skrývá za rostlinnou průtokovou cytometrií (2005, 1)
Cytokiny a biologická léčba (2013, 3)
Vznik a ukončení zánětu (2017, 1)
Použitá a citovaná literatura:
BRYCHTOVÁ, Yvona; PANOVSKÁ, Anna; DOUBEK, Michael. Chronická lymfocytární leukemie: informace pro pacienty a jejich blízké. Brno: Pro Českou leukemickou skupinu – pro život (CELL) vydalo nakladatelství Kmen, 2016.
CHEONG, Jit Kong; VIRSHUP, David M. Casein kinase 1: Complexity in the family. The international journal of biochemistry & cell biology, 2011, 43.4: 465-469. doi: 10.1016/j.biocel.2010.12.004
GOMES, Lorena Caixeta, et al. Advances in chronic lymphocytic leukemia pharmacotherapy. Biomedicine & Pharmacotherapy, 2017, 97: 349-358. doi: 10.1016/j.biopha.2017.10.105
JANOVSKÁ, Pavlína, et al. Casein kinase 1 is a therapeutic target in chronic lymphocytic leukemia. Blood, The Journal of the American Society of Hematology, 2018, 131.11: 1206-1218. doi: 10.1182/blood-2017-05-786947
Internetové zdroje:
Kvantitativní polymerázová řetězová reakce – Wikipedia
Studium přítomnosti proteinů v buňkách (analýza proteomu) - prezentace v pdf
Chronic lymphocytic leukemia (CLL) is a hematological malignancy and one of the most common types of adult leukemia. The course of the disease is quite heterogenous. It has been published that Wnt signalling may be responsible for the development of CLL as well as other malignances. The results of recent preclinical studies show that blocking Wnt signalling activity via its key component, casein kinase 1 (CK1), could be a novel approach to the treatment of cancer, including CLL. Together with other colleagues, we are trying to develop compounds (small molecule inhibitors), that target the CK1 and can selectively block its activity in cells.
-
Časový vývoj incidence (počet nových případů na 100 tisíc osob) a mortality (počet úmrtí na danou diagnózu na 100 tisíc osob) pro chronickou lymfocytární leukémii (CLL) v celé populaci tehdejšího Československa i dnešní České republiky. Převzato z webového portálu www.svod.cz, upraveno
-
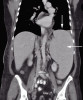
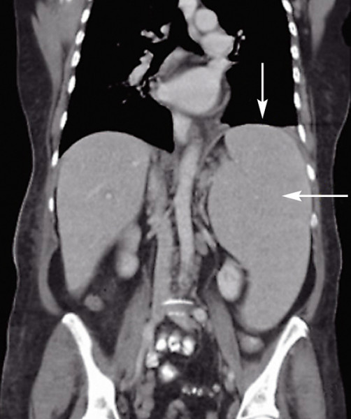
Snímek z počítačové tomografie (CT) ukazuje zvětšenou slezinu – splenomegalii (viz šipky) jako jeden z příznaků CLL. Převzato z Wikimedia Commons, v souladu s podmínkami použití
-
Schéma Wnt/PCP dráhy a role izoformy kasein kinázy CK1∂/ε u leukemických B-lymfocytů a její inhibice pomocí nově připravovaných látek s různými strukturními modifikacemi. Po navázání Wnt ligandu na receptory dochází k aktivaci signální dráhy a přenosu signálu na další proteiny včetně CK1, kterou se snažíme blokovat inhibitory a zabránit tak progresi nádorového onemocnění. Blíže v textu. R1–R6 – různé modifikace chemické struktury centrálního farmakoforu; ROR1 a Frizzled – transmembránové receptory, které přijímají a dále přenášejí signál v buňce, Wnt – ligand spouštějící tuto signalizaci.
-
Populace B-lymfocytů, konkrétně HG3 CLL – buněčné linie odvozené od CLL, v kultuře in vitro. Foto Š. Čada
-
Výsledky testu cytotoxického působení CK1 inhibitorů po dobu 6 hodin na primární leukemické buňky izolované z periferní krve pacientů. Ibrutinib je látka, která se již běžně využívá při léčbě. Jde o inhibitor Brutonovy tyrozin kinázy, která má klíčové postavení v přenosu signálu od B-buněčného receptoru ovlivňujícího aktivaci B-lymfocytů, jejich proliferaci a produkci protilátek. Je zde vidět, že s rostoucí koncentrací dochází k výraznému snížení počtu živých buněk. Nejtoxičtější účinky vykazuje právě ibrutinib, dále naše nová látka a nejslabší účinek má komerční CK1 inhibitor PF-670462. Orig.: M. Gregorová
-
Sledování inhibice CK1ε metodou western blot, která se využívá pro detekci konkrétního proteinu ve vzorku. Elektroforézou dojde k rozdělení proteinů podle velikosti, poté jsou přeneseny z gelu na membránu a detekovány pomocí specifických protilátek (horní část obr.). Upraveno podle: B. T. Kurien a R. H. Scofield (2015). Aktivní fosforylovaná forma CK1ε je označena červenou šipkou (spodní část obr.). Po přidání inhibitorů A a B dochází k úbytku fosforylované formy a k blokaci její autofosforylační aktivity. Inhibitor C aktivitu CK1ε neovlivňuje. Orig.: M. Gregorová
-
Schematické znázornění společné kultivace leukemických a stromálních buněk a následná analýza genové exprese nebo sekrece chemokinů. Orig.: M. Gregorová
-
Migrační jamka – buňky umístěné do horního oddílu se nechají procházet několik hodin skrze membránu s póry až do spodního oddílu. Množství buněk schopných migrace se kvantifikuje s využitím průtokového cytometru. Orig.: M. Gregorová