Plazmatická propojení rostlinných buněk zvaná plazmodezmy nepředstavují pouze „díru v buněčné stěně“, jsou to rafinovaně stavěné, regulovatelné a značně flexibilní útvary umožňující rostlině šíření životně důležitých látek, zdravý vývoj i vhodnou reakci na působení vnějšího prostředí, ačkoli jsou zároveň i potenciálními průchody pro šíření infekcí.
Plasmatic connections among plant cells called plasmodesms are not only a “hole in a cell wall”, but more sophisticated, flexible formations, which can be regulated and which enable the spread of vitally important substances, sound development and the appropriate reaction of plants to the environment. However, they can also serve as potential passages for infections.
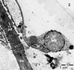
Snímek plazmodezmu na podélném řezu z transmisního elektronového mikroskopu: pd – plazmodezmy, pm – plazmatická membrána, mt – mitochondrie, bs – buněčná stěna. Foto Z. Lenochová / © Z. Lenochová




